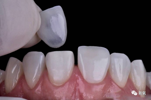
最近,羊在看青你的时候,发现蔡卓宜的牙特别白特别“周正”... 然后捏,羊很快就发现很多网友都注意到了。 大家可以先来感受一发,蔡卓宜的大白牙~ 其实,羊觉得,蔡卓宜的牙除了有点过于白了,被大家吐槽有种假牙感之外,这洁白的牙齿们真的为她的笑容加了太多分。 所以,羊今天就想要和大家了一个和美牙有关的项目—牙贴面~ 牙贴面能帮我们做什么? 牙贴面在国内并没有很普及,但在欧美已经成为替代烤瓷牙的第一首选。 大家都知道,欧美国家对一口好牙的相当看重。 对孩子的牙齿美观程度很看重,很大一部分人都经历过牙齿正畸这一环节,以至于我们形成一种“欧美人牙长的都很好”的印象。 在民间如此,那么在注重外表的娱乐圈更是这样,还诞生了“好莱坞白“这一牙白色阶~ 可见牙白真的会为形象气质加分额~ 一口洁白的牙,更有一种精英感,看起来受教育程度高的样子,但并不是每个人都有这么好的原生条件。 所以烤瓷牙啊~牙贴面啊这类项目,就应需诞生辽~ 首先捏,牙贴面一种人工合成的物质,用它和自身牙齿相结合。 应对牙齿形态不好看、缺茬、颜色影响美观或轻微角度不佳的问题,可以说它同时拥有,医用矫正属性和医疗美容属性。 (看上去很简单的是不是) 作用原理也是非常简单,就像我们平时去做美甲接甲片,在贴甲片之前,会磨掉原生指甲的表面,一是增加粘合力,二是让甲片的最终厚度和谐,牙贴面也是这样的步骤,先打磨再安装。 还可以简单粗暴理解为手机壳,不同型号的手机有不同外壳适配,牙贴面相比甲片的打磨,当然是更细微和严谨的。 其实牙贴面还是很厉害的~可以适用于以下几种情况。 1.比如说中、重度的四环素牙或存在牙斑。 这种情况无法做冷光美白,牙贴面就是很好的解决方案。 2.种牙齿形态影响美观,这种情况正畸是无法改善的。 只能用烤瓷牙或者牙贴面达到改善,如果本身的牙和牙龈已经有很多问题,像牙龈萎缩什么的,牙贴面也能用的上。 3.本身牙缝太宽,但是想要快速解决问题,牙贴面也可以。 但羊觉得这种情况还是要先矫正。 牙贴面的选择与优缺点 目前市面上的牙贴面有两种选择,一种是树脂,一种是瓷贴面,瓷贴面更好价格也更贵。 羊总结一下瓷贴面的优点避免太长: 1..相比树脂材质安全系数更好,瓷贴面对牙髓刺激小。 2.相比树脂材质,瓷贴面更薄更自然。 3.因为自然所以更好看,和真牙很像。 4.高硬度质量优于树脂贴片,更耐用。 实话实说,蔡卓宜的牙有点过于白了,不过形态很好看。 但因为,多多少少需要打磨掉原来的牙齿,所以牙贴面这个项目还是谨慎选择。(但带来的损伤肯定要比烤瓷牙小很多,总之还是一种技术进步吧!) 还有一个重要缺点就是贵,一颗瓷贴面的价格就在3000~7000之间,所以对于想要有一点点改善的人,性价比太低了,十分不建议。 除了牙贴面带来的好处,危害也不得不提。 就像牙刚才说的,贴之前要先打磨自身的牙,这个过程会很痛苦,牙齿会变很脆弱很酸痛。 并且这种酸痛感完全消失需要一两个月时间,这期间虽然牙美了,但是过程蛮难熬。 毕竟不是原生的牙,它的耐造性不如真牙,所以啃骨头什么的,用牙翘瓶盖这种动作就不能做啦,毕竟那已经不单单是牙,更是人民币... 它可能会让牙龈逐渐萎缩(也就是牙龈越来越高),但是牙贴面是死的,所以新暴露出的牙齿部分会显得有些突兀。 这个情况还是要看个人,如果牙龈状态特别好出现的几率也会低很多,如果出现了这类问题,也不能怎么样,最差就是重新贴。 还有就是如果操作不好,会加厚牙本身的厚度,让嘴看起来有点凸.. 总的来说,牙贴面有他的好处,但也有坏处,最终需不需要去做,羊认为还要看自己牙本身的条件。 还有哦~ 羊崽崽们不要觉得就像贴甲片那么简单,牙贴面属于牙齿美学修复,对医生的技术和审美是有很高要求滴~所以一定要去正规的机构找靠谱医生! 好啦~关于牙贴面就交代完了。




















本文由网络整理 © 版权归原作者所有